Cabinet du Dr POUSSINES-RANA, du Dr BARGUÈS et du Dr GOMEZ
Chirurgiens dentistes à Saint-Clément-de-Rivière

Le site www.drpoussinesrana.fr est temporairement désactivé...

Si vous êtes le propriétaire de ce site, merci de contacter rapidement l'hébergeur.

  • Hébergeur : Webdentiste
  • Téléphone : 0175611128

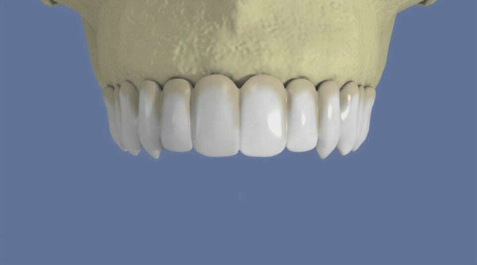
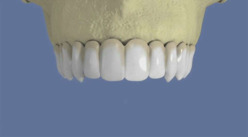
Maxillaire : bridge vissé sans fausse gencive


video-play-icon

Articles similaires

Création par Webdentiste

Connexion